Robuta

https://www.snuffelhoek.nl/a/beeld/65013/sansui-dvx2882-dvdvcdcdcdrcdrw-mp3-player-defect/
SANSUI DV-X2882 DVD/VCD/CD/CD-R/CD-RW MP3 -Player DEFECTDeze speler is veelzijdig, maar helaas defect. Powerlanpje blijt knipperen. Misschien is het een kleun...
dvvcdr
https://www.anwb.nl/fiets/soorten-fietsen/elektrische-fietsen/defecten-elektrische-fiets
Heb je een elektrische fiets met kapotte accu? Is de motor van je elektrische fiets kapot? Doet de display het niet? Of gaat je e-bike helemaal niet meer aan?...
elektrische fietsdefectenanwb
https://www.radioromania.ro/stiri-locale/iasi-incendiu-izbucnit-din-cauza-unui-frigider-defect-in-urma-caruia-au-murit-doua-femei-id130641.html
Cele două victime au decedat intoxicate cu fum.
dindefecturma
https://www.independent.co.uk/sport/golf/brooks-koepka-liv-golf-talor-gooch-b2889866.html
Dec 23, 2025 - The five-time major winner explained he would step back to spend more time with his family
brooks koepkaliv golfbecomesfirstplayer
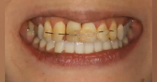
https://www.perioimplantadvisory.com/clinical-tips/video/14279410/severe-anterior-bone-defect-case-study-treating-a-complex-implant-case
This patient fractured her buccal plate, has a high smile line with uneven gingival zeniths, and has supernumerary teeth in the anterior maxilla.
case studysevereanteriorbonedefect
https://bululu.shop/product/121cm-gb05-slight-defect-doll/
Sep 19, 2025 - Height:121.00 cm Net Height:105.00 cm Net Weight:22.50 kg Bust:59.50 cm Waist:53.00 cm Hips:62.50 cm Arm Length:50.00 cm Leg Length:56.50 cm Feet Length:17.50...
best sexslightdefectdollrealistic
https://www.healthshots.com/preventive-care/family-care/common-questions-about-congenital-heart-defect-answered/
Feb 12, 2025 - Congenital heart defect is a problem that arises when the heart does not develop normally before birth. On Congenital Heart Defect Awareness Day, check out the...
common questionsexpertanswerscongenitalheart
https://m.dailyadvent.com/news/143a09a9251109en_us
Toyota issues recall over engine defect affecting thousands- Opera News
toyotaissuesrecallenginedefect
https://cyberscoop.com/goanywhere-vulnerability-active-exploitation-september-2025/
Sep 26, 2025 - Forta, the vendor behind the file-transfer service software, has yet to report exploitation or address evidence of compromise. Independent researchers say...
worriesmountmaxseveritydefect
https://cyberscoop.com/goanywhere-file-transfer-service-vulnerability-september-2025/
Sep 19, 2025 - The vendor didn’t provide evidence of active exploitation, yet experts said it’s only a matter of time before that changes.
researchersraisealarmmaximumseverity
https://www.express.co.uk/news/politics/2158424/robert-jenrick-bags-victory-defection-analysis
Jan 15, 2026 - The former top Tory has been mulling this over for months, but just about bested a surprisingly effective operation by Kemi Badenoch.
robert jenrickmademinddefectmonths
https://www.1866hirejoe.com/practice-areas/road-defect-injury/
Injured due to a road defect in Michigan? Contact a Michigan road defect attorney at The Joseph Dedvukaj Firm, P.C. for a FREE consultation today!
epicreasonsneedmichiganroad
https://crankers.com/videos/3920/seditious-behavior-continues-billboards-encouraging-members-of-the-military-to-defect/
The Seditious Behavior CONTINUES: Billboards encouraging Members of the Military to DEFECT are now beginning to appear. This one near Fort Bragg, North...
seditious behaviorcontinuesbillboardsencouragingmembers
https://zerodefectdesign.com/
zerodefectdesignconverge
https://www.femalefirst.co.uk/lifestyle-fashion/stylenews/anok-yai-undergoes-surgery-congenital-defect-1435019.html
Anok Yai has been diagnosed with a congenital defect which has been slowly destroying her lungs.
anok yaiundergoessurgerycongenitaldefect
https://www.barkinganddagenhampost.co.uk/news/25476712.three-barking-dagenham-labour-councillors-defect-green-party/
Three Labour councillors in Barking and Dagenham have defected to the Green Party.
green partythreebarkingdagenhamlabour
https://www.azoai.com/news/20251112/AI-Method-Boosts-Metal-3D-Printing-Defect-Detection-Accuracy-by-85-Percent.aspx
Researchers from the University of Naples and the University of Wollongong have developed an AI-based method that boosts defect detection accuracy in wire arc...
defect detectionaimethodboostsmetal
https://www.yahoo.com/news/articles/city-road-remains-shut-over-190251310.html
Dec 23, 2025 - The Suffolk Street slip road has been shut since October over an issue with the Orion Building.
cityroadremainsshutbuilding
https://www.medtechdive.com/news/Medtronic-MDT-hemodialysis-catheter-recall/641571/
The FDA reported two injuries tied to the problem, which could cause leaks across the tubes of the implanted catheters and produce blood clots.
medtronicrecallshemodialysiscatheterspotential
https://www.antenasatelor.ro/viata-la-tara/accident/sfarsit-tragic-pentru-doua-femei-din-cauza-unui-aparat-electrocasnic-defect-id42006.html
Purtătorul de cuvânt al Inspectoratului pentru Situaţii de Urgenţă Iaşi, Georgică Onofreiasa, a precizat că la faţa locului s-au deplasat 13...
tragicpentrufemeidinaparat
https://www.bmc.com/support/resources/issue-defect-management.html
BMC helps customers run and reinvent their businesses with open, scalable, and modular solutions to complex IT problems.
casedefectmanagementbmcsoftware
https://www.king5.com/article/sports/kirkland-juanita-high-school-three-sport-star-perseveres-against-the-odds/281-4062db6b-032e-4386-a1e6-247c12784a8b
Nick Taylor at Kirkland's Juanita High School has become one of the top pitchers in Washington state and he's done it all despite a rare challenge.
high schoolprepzonejuanitasenior
https://www.babycenter.com/pregnancy/health-and-safety/spina-bifida_40008622
Learn what causes spina bifida, plus how this birth defect is treated.
spina bifidalearncausesbirth
https://hackaday.io/project/204809-ai-driven-plastic-surface-defect-detection-via-uv
Experimenting with different UV wavelengths and camera types to develop a feature-rich industrial anomaly detection mechanism with edge AI.
defect detectionaidrivenplasticsurface
https://www.thatslife.com.au/health-stories/baby-born-with-heart-defect-survival/
Oct 22, 2025 - Doctors warned Bianca her baby’s heart defect was life-threatening and advised termination but she refused. Now, Oliver is thriving.
oliverbornsevereheartdefect
https://www.goredforwomen.org/en/about-heart-disease-in-women/class-of-survivors/naomi-james
Naomi James had her first open-heart surgery before she was 3 months old. She was born with a combination of four defects that required her to undergo surgery...
naomijamescongenitalheartdefect
https://nicuhelpinghands.org/congenital-heart-defect/
Feb 14, 2021 - According to the Pediatric Congenital Heart Association, now Conquering CHD, 1 in every 100 infants is born with a congenital heart defect.
congenitalheartdefectmommasnicu
https://www.azooptics.com/Article.aspx?ArticleID=2845
Optical 3D metrology enables fast, non-contact surface roughness measurement of defects and roughness for precise manufacturing quality control.
fastdefectsurfaceroughnessmeasurement
https://www.steinberglawfirm.com/construction-defect/
Jun 11, 2025 - If your home has sustained property damage resulting from a construction defect, our construction defect lawyers know what it takes to help you pursue...
south carolinaconstructiondefectlawyers
https://www.guru99.com/defect-life-cycle.html
Oct 28, 2025 - This tutorial describes the various stages in a bug aka defect life cycle and its importance.
life cyclesoftware testingdefectbug
https://www.guru99.com/bugzilla-tutorial-for-beginners.html
Aug 11, 2025 - Introduction- What is Bugzilla Bugzilla is an open-source issue/bug tracking system that allows developers effectively to keep track of outstanding problems...
tracking toolbugzillatutorialdefect
https://www.crossco.com/solutions/automation/defect-detection/
Automation for defect detection from expert automation integrator, Cross Company. Ensure your inline inspection is working how you need it to with Cross
defect detectionautomationcrosscompanyintegration
https://texasobgynmd.com/prenatal-genetic-testing-birth-defect-plano-frisco-dallas-tx/
Nov 1, 2017 - Birth defect testing, or prenatal genetic testing, provides parents-to-be with information about whether their fetus has certain genetic disorders.
genetic testingdallas txprenatalbirthdefect
https://www.detoren.net/nieuws/hardenberg/106157/-defect-parkeersysteem-is-duur-grapje-
Nov 26, 2025
defect
https://www.parents.com/nuna-rava-car-seats-recalled-due-to-safety-harness-defect-8764969
The brand says a safety malfunction can occur when debris enters the harness adjuster area.
car seatsnunarecallduesafety
https://semiengineering.com/hbm-leads-the-way-to-defect-free-bumps/
Nov 11, 2025 - Bump scaling is pushing defect inspection to the limit. What comes next and why it matters.
hbmleadswaydefectfree
https://targetprocess.com/guide/bug-tracking/bug-trends-and-dynamics/
Sep 19, 2018 - Targetprocess supports defect trend reports to help track bug discovery and resolution rates. Streamline the quality assurance process by using bug trends...
trends reportscreatingbugtargetprocessdefect
https://cyberscoop.com/attackers-exploit-react-server-vulnerability/
Dec 6, 2025 - A debate over actual exploitation is muddying response efforts. Multiple researchers say they’ve observed working proof of concepts while others assert...
attackershitreactdefectresearchers
https://bululusexdoll.com/product/121cm-gb05-slight-defect-doll/
Nov 28, 2025 - Height:121.00 cmNet Height:105.00 cmNet Weight:22.50 kgBust:59.50 cmWaist:53.00 cmHips:62.50 cmArm Length:50.00 cmLeg Length:56.50 cmFeet Length:17.50 cmPalm...
doll sexslightdefectrealisticbest
https://pinaysexscandal.co/testing-sa-nabiling-vibrator-sa-shopee-kung-walang-defect/
Jan 3, 2021 - Watch Testing sa nabiling Vibrator sa Shopee kung walang defect at PinaySexScandal.CO. More Premium Porn and Homemade sex scandals of Pinays and Asians in...
testingsavibratorshopeekung
https://www.guru99.com/defect-density-software-testing-terminology.html
Apr 24, 2024 - Defect Density is the number of defects confirmed in software/module during a specific period of operation or development divided by the size of the...
defectdensityformulacalculateexample
https://www.sjpp.org/heart-and-vascular/treatments-services/atrial-septal-defect-closure/
An atrial septal defect (ASD) is a birth defect (congenital) in which there is an abnormal hole in the part of the septum that separates the upper chamber of...
atrialdefectclosure
https://www.cybersecuritydive.com/news/security-defect-passwords-authentication/693471/
Cyberattacks are fueled by the shortcomings of business authentication controls. Bad things happen when access falls apart and credentials land in the wrong...
cybersecurity diveunderlyingdefectpasswordsauthentication
https://deprintplaatmonteur.nl/2023/11/28/bosch-siemens-droger-defect-printplaat-de-monteren/
Instructies printplaat (de)monteren. Bosch/Siemens droger defect, doet niets meer, valt uit. Printplaat reparatie 59,-
deboschsiemens
https://www.automotivemanufacturingsolutions.com/videos/watch-data-ecosystems-and-digital-twins-driving-the-next-era-of-zerodefect-manufacturing/1641936
Nov 4, 2025 - At AMS North America, Dr Georges Ayoub explains how data ecosystems and digital twins are enabling zero-defect, cost-efficient manufacturing in the US.
digital twinsdataecosystemsdrivingnext
https://www.colburnlaw.com/practice-areas/seattle-auto-defect-lawyer/
Oct 14, 2025 - If you or a loved one has been injured due to a defective auto part, you may be eligible for compensation. Contact Colburn Law today.
seattleautodefectattorneyvehicle
https://www.express.co.uk/news/politics/2158411/conservatives-defect-to-reform-uk
Jan 15, 2026 - Nigel Farage has told potential defectors they have until May 7 to join Reform UK.
robert jenricktorieslikelyfollow
https://news.sky.com/story/who-is-the-well-known-labour-figure-farage-says-will-defect-to-reform-next-week-13495097
Nigel Farage has claimed a "well known" Labour figure is due to join his party next week after Robert Jenrick's defection.
well knownlabourfigurefaragesays
https://www.autoguide.com/auto/toyota-is-recalling-6-000-brand-new-tacomas-for-driveshaft-defect-44626189
Oct 6, 2025 - Toyota is recalling approximately 6,000 examples of the 2025 Tacoma over a defect involving the truck’s front driveshaft joint, which could compromise...
brand newtoyotarecallingdriveshaft
https://www.kla.com/products/wafer-manufacturing/wafer-defect-inspection-review
defectinspectionreviewkla
https://www.matzuslaw.com/pittsburgh-birth-injury-lawyer/birth-defects/
Dec 18, 2025 - Contact Matzus Law at (412) 206-5300 and speak with our experienced Pittsburgh birth defects lawyers today.
pittsburghbirthdefectlawyers
https://imerit.net/products/applications/defect-detection-ai-data-annotation-automation/
Apr 25, 2025 - Built on the Ango Hub platform, we have a specialized application for manufacturing defect detection, with an algorithm-based predictive model for automation.
defect detectionaidataannotationautomation
https://developer.nvidia.com/blog/optimizing-semiconductor-defect-classification-with-generative-ai-and-vision-foundation-models/
Jan 8, 2026 - In the heart of every modern electronic device lies a silicon chip, built through a manufacturing process so precise that even a microscopic defect can…
generative aisemiconductordefectclassificationvision
https://www.independent.ie/world-news/britain/robert-jenrick-attacks-tories-as-failed-party-as-he-becomes-latest-to-defect-to-nigel-farages-reform/a1981275471.html
Robert Jenrick has accused the Tories of lacking the “stomach for the radical change this country needs” as he defected to Reform UK after being sacked...
robert jenrickattackstoriespartybecomes
https://viso.ai/applications/defect-detection/
Apr 30, 2025 - Boost defect detection with computer vision, ensuring quality and efficiency in manufacturing. Discover how CV improves accuracy and reduces errors.
defect detectioncomputer vision
https://wccftech.com/intel-18a-node-achieves-record-low-defect-density/
Intel has revealed progress around the 18A chip at the Tech Tour, and the process is at an all-time low in defect density.
highlyanticipatednoderecordlow
https://www.reparatiewinkel.nl/
Apr 16, 2025 - Apparaat defect? Wij repareren! Officieel Samsung Service-punt ✓ Originele onderdelen ✓ 3 maanden garantie ✓ Opsturen of langsbrengen ✓ Erkend...
defectonderdelenede
https://khashanlaw.com/practice-areas/tire-defect-accident/
Apr 15, 2023 - Involved in a tire defect accident? Our team of tire defect attorneys at Khashan Law can file a suit to hold the negligent retailers and manufacturers...
khashan lawtiredefectaccidentfirm
https://cyberscoop.com/fortinet-delayed-disclosure-exploited-vulnerability/
Nov 17, 2025 - The security vendor silently patched a vulnerability, but did not assign the flaw a CVE or publicly disclose its existence until 17 days later. By then,...
delayedalertactivelyexploiteddefect
https://www.tmz.com/2025/12/21/anok-yai-diagnosed-congenital-lung-defect/
Supermodel Anok Yai has been silently battling a congenital defect that she says is "overworking [her] heart and slowly destroying [her] lungs."
anok yaisupermodeldiagnosedcongenitallung
https://carbuzz.com/mitsubishi-safety-verdict-overturned/
A Pennsylvania court has ordered a new trial after a massive award.
mitsubishigetnewtrialsafety
https://www.9news.com.au/health/thea-flaskett-inquest-newborns-fatal-heart-defect-mistaken-for-lung-disease/dfdbce1b-9839-4b0c-8605-b91c69d81e3e
Sep 2, 2025 - A newborn baby dying of low oxygen levels and a heart defect was treated by a paediatrician who thought the...
theanewbornfatalheartdefect
https://kb.isc.org/docs/aa-00861
ISC's Software Defect and Security Vulnerability Disclosure Policy for BIND 9, ISC DHCP, and Kea DHCP
vulnerability disclosuresoftwaredefectpolicy
https://www.mdd.com/forensic-accounting-services/construction-defects-claims/
Nov 25, 2025 - MDD can help with construction defects claims, delayed start up, construction delay claims and construction defect claims.
constructiondefectclaimsdelayedstart